0-5393-6027 ต่อ 100
วันจันทร์ - ศุกร์ เวลา 07:30 - 20:00 น.
วันเสาร์ - อาทิตย์ เวลา 07:30 - 15:30 น.
เอกซเรย์
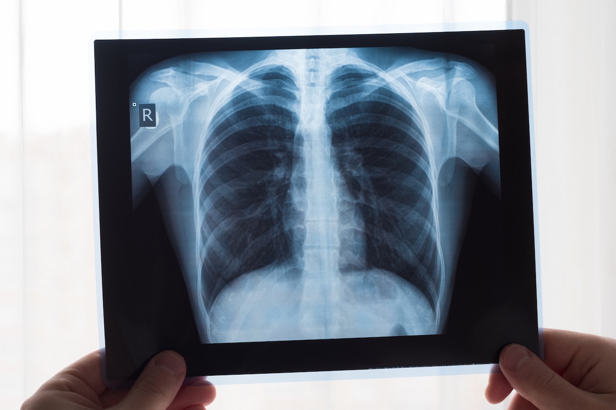
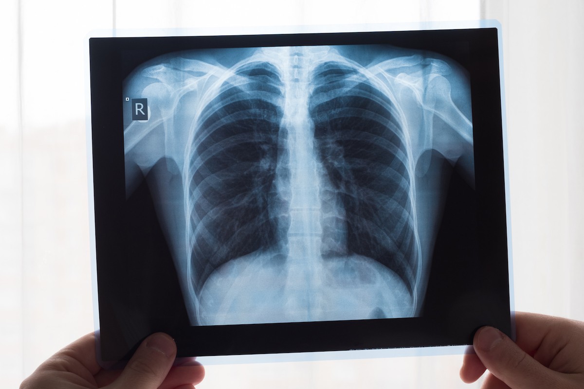
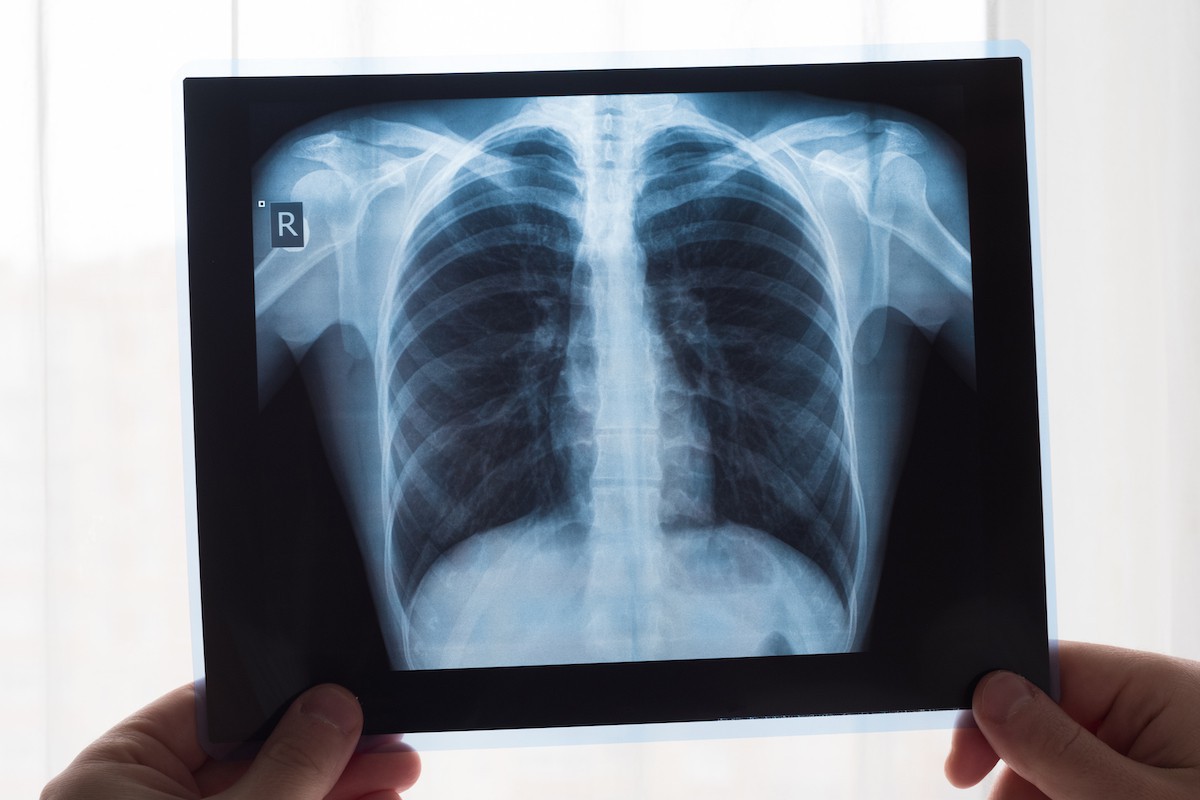
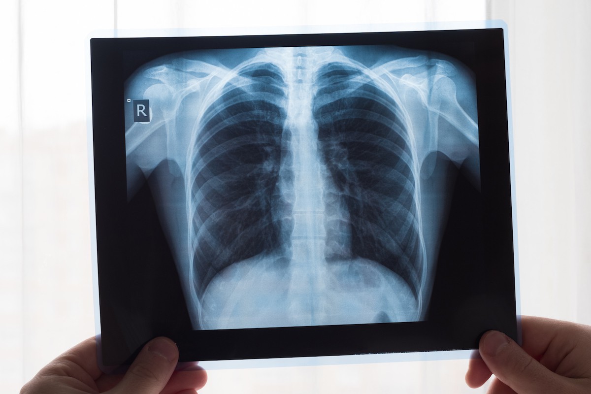
เอกซเรย์ : X-ray

  การเอกซเรย์ปอด คือ การฉายรังสีเอกซ์ไปที่ส่วนของหน้าอก หรือ ปอด โดยภาพจากการฉายรังสีนั้นจะถูกบันทึกลงในแผ่นฟิล์ม ซึ่งแพทย์จะใช้ในการตรวจวินิจฉัยความสมบูรณ์ของอวัยวะภายใน ทั้งทรวงอก ปอด และโครงสร้างข้างเคียง การเอกซเรย์ปอดจึงเป็นการตรวจอย่างหนึ่งที่นิยมใช้กันมาก เพราะเป็นการตรวจที่ง่ายและสามารถคัดกรองได้เบื้องต้น รวมทั้งรังสีที่ใช้มีปริมาณน้อย

วันเวลาทำการ
วันจันทร์ - ศุกร์ เวลา 07:30 น. - 16:30 น.
วันเสาร์ - อาทิตย์ เวลา 07:30 น. - 15:30 น.
วันหยุด
วันหยุดนักขัตฤกษ์
ติดต่อ
0-5394-9296
อีเมล
หยุดวันนักขัตฤกษ์และวันหยุดชดเชย